It’s been a tough few weeks. Since seeing the physio and establishing that I’ve likely damaged a meniscus I’ve been unable to run. A couple of years ago I was unable to run as I was unfit, now I can feel the fitness draining away. Compounded by a new job where cheese is the currency of conversations over lunch (and I do love cheese).
Fitness drains and my weight gains. I’ve slowly got back on the indoor bike, managing to spin for 45 minutes or so, it’s uncomfortable but feels good to be mobile again. Training peaks is laughing at the deterioation.

Can’t you help me Doc?
After finally getting the consultant appointment and MRI I’ve made some progress. The season spluttered with me pulling out of the local half marathon, the Paris marathon and the duathlon series in Windsor. The Ironman Wales felt like it was a write off but it’s down to the doctors to decide that.
It may be apparent, but I’m cynical. I prefer the term a professional realist. 20 years in operations roles does that to a man. When the knee first started to really struggle I wrote the year off. Not in any way did I accept it, but mentally I checked it off and resigned myself to being a lardy unfit 40+ with a couple of years of being healthy to fall back on.
The first consult with the specialist didn’t help. A likely operation, up to 12 weeks off it and a summer of booze and cheese awaited. The MRI was done same day and then it’s a wait for a follow-up. Obviously, in between the MRI and the follow up I absorbed everything on the internet like an Aldi Lawnmower Man. By the end of day 2 I’m fairly sure I could have qualified as an osteopath in Taiwan.
What’s the diagnosis?
The consultant, the exceptional Fiona Middleton at Clare Park Hospital, put me straight. No running for a while, but bike, swim and race….back on. Don’t expect a decent time (as if) and don’t go crazy but you can get back on. No op needed. It’s worth keeping an eye on the bone ‘fronds’ (see below) and there’s the potential for an operation to smooth it off, but in her words, I’ll end up with a shorter leg which could cause all sorts of other problems. I did mention they could trim my other leg but we agreed we may end up turning me into a modern day Jimmy Krankie and nobody wants that.
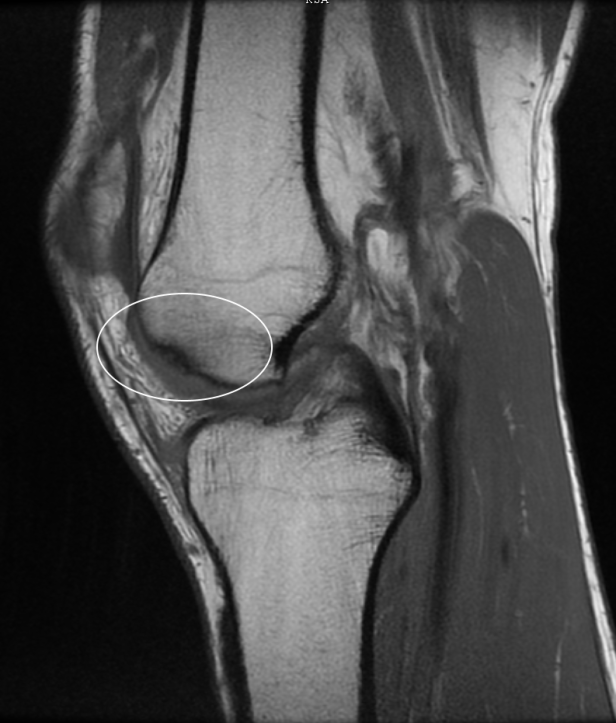
For those interested in science, the below is a collection of the grabs from the MRI with my understanding. Bear in mind I’m not a doctor, so take it with a pinch of sodium replacement. See you in Wales, Tenby had better have streets lined with feathers or it might hurt a bit!
Short Version
- I have a pitted surface on the base of the femur which combined with increased pressures on the knee has allowed the honeycomb of the bone to fill with fluid. Like a bone bruise.
- All meniscus present and correct, some lack of cartilage but nothing terrible.
- Fluid on the back of the hamstring and down to the joint, stretching. Some thing that I’ve never really done. I may have the odd roll on some foam rollers but I don’t have a regime.
Here comes the science



